top of page
Details


賴怡妏
隱適美隱形矯正認證醫師
中國醫藥大學齒顎矯正碩士
中國醫藥大學齒顎矯正科醫師
中山醫學大學牙醫學士
愛漂亮的矯正醫師賴怡妏,也愛幫你變漂亮!
Cures


隱適美3D數位隱形矯正
牙齒矯正一定要大鋼牙嗎?你可以有更新更好的選擇!經由3D電腦模擬技術,精準排列牙齒移動,並 且製作全透明的隱形牙套,只需要定期更換隱形牙套,即可以輕鬆完成隱形矯正。完全透明的牙套,並且可以自行拆卸,給你最自由便利的牙齒矯正新體驗,不影響美觀、進食及牙齒清潔,讓你在不知不覺中,完成牙齒矯正。
隱適美為隱形矯正中最知名的的品牌,我們提供您經過隱適美認證的技術,給您舒適美觀的牙齒矯正新選擇。了解隱適美
完全美觀透明
沒有異物感
可輕鬆拆卸無負擔
口腔清潔簡單
疼痛度最低
最舒適的矯正方式
新式LH矯正
改良式Ni-Ti矯正線,利用LH矯正線的優異性質使牙齒移動或排列更簡單、更快速且更健康的技術
降低矯正疼痛不適
拋棄複雜口內裝置
提供牙齒健康施力,減少副作用


自鎖式矯正
特殊設計的掀蓋矯正器
不需要鐵線綁死而是以軌道式滑動使牙齒移動順暢
縮短矯正時間
減少磨擦異物感
臨床操作快速,回診輕鬆
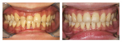
Cases


![]() | ![]() | ![]() |
|---|---|---|
![]() | ![]() | ![]() |
![]() | ![]() | ![]() |
![]() |
Places


傑揚牙醫診所
周三 14:30~17:30
18:30~21:00
周六 9:00~12:00
鑽石牙醫診所
周五 18:30~21:00
周六 9:00~12:00
049-2205666
04-24721995
米羅牙醫診所
周四 18:00~21:30
04-7200088
英倫牙醫診所
周五 18:00~21:30
04-7770033
莊培欣牙醫診所
周一 16:00~19:30
04-22339363
Contact
Programs

bottom of page












